虎牙烦恼知多少
很多人觉得虎牙笑起来有多可爱,但是你知道拥有虎牙的一些人的烦恼。
今天我们要说的是关于虎牙矫正的案例,虎牙即尖牙,虎牙的作用主要是支撑口角,撕裂食物。虎牙也是单根牙中最强壮的牙,即使有牙周病的患者,牙齿脱落,虎牙往往是最后一颗脱落的,虎牙位置长偏或阻生对脸型影响极大。小虎牙是东方人常见的牙齿错颌类型。大明星巩俐在拍《红高粱》被导演指出把虎牙整好再来,由于巩俐没时间矫正,就请牙医把牙齿磨小,做了看似平整的瓷牙,但上颌中线始终没有得到调正,上下中线不一致。虎牙的威力可见一斑。接下来列举一些常见的虎牙问题:
01
虎牙阻生
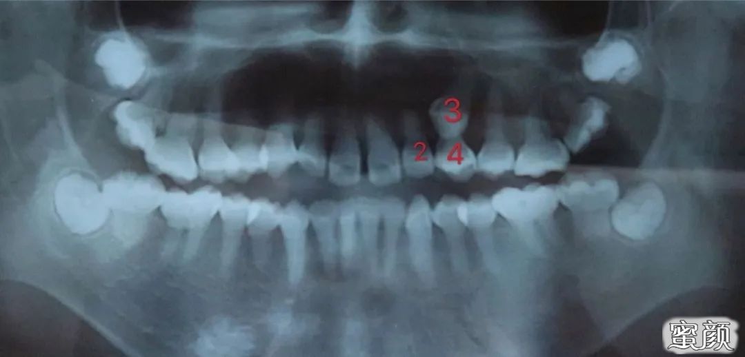
年龄:51岁
主诉:左上虎牙没有长出来,想要种植。
检查:左上3埋伏阻生。
治疗计划:经沟通后愿意引导尖牙萌出,避免拔除后种植貌似快速治疗的方案。

通过X片我们可以清楚看见左上虎牙低位埋伏阻生尖牙,牙冠与侧切牙牙根较接近。
外科开窗手术+正畸粘结舌侧扣

牵引一年后


虎牙归位排齐上颌
结束治疗

术后X片,事实证明年龄不是问题,成年男性50多岁,虎牙一直未萌出本来准备做种植,通过拍X片发现虎牙藏在里面行开窗牵引治疗,非常成功。所以大家也不要有年龄方面的担忧。
02
虎牙阻生,乳牙滞留
年龄:12岁
主诉:妈妈认为全部换好恒牙,要求矫正治疗。
检查:口内检查左上乳牙C滞留(外观与恒牙3相似)处拍摄X-Ray显示左上乳牙C阻生伴多生牙一颗。
治疗计划:拔除乳牙及多生牙,开窗助萌左上恒牙3.
术前x片

拔除乳牙和多生牙

拔除乳牙和多生牙,虎牙粘结舌侧扣


矫正结束后口内牙齿情况
矫正结束后口内牙齿前后对比图


矫正结束x片
案例总结
当我们发现乳牙到了年龄还没有更换,便可带孩子常规去医院拍摄x片,即可发现恒牙是否存在。有的虎牙在腭侧,也可开窗助萌牵引归位。
03
虎牙改形
年龄:42岁
主诉:右上虎牙在内侧,年轻时为了美观,破坏牙齿形态做美容冠,现牙冠松脱求矫正。
检查:右上3被备牙改形。
治疗计划:上颌牙列排齐整平,右上3树脂临时修复,日后可考虑瓷贴面。
术前X片

拆除超大冠,暴露虎牙位置


托槽排齐牙齿,虎牙归位,树脂修复。
接下来我们再看一下侧面的对比图:


拆除超大冠,树脂修复
案例总结:尖牙入牙弓弧度内,舌头触感更舒适,尖牙恢复正常形态,易清洁更美观。
04
虎牙异位
年龄:13岁
主诉:虎牙没有位置萌出,拒绝拔牙。
检查:左上3与左上4易位,且左上3拥挤。
治疗计划:钟摆器推磨牙左上6向后,托槽、弓丝配合推簧推左上4向远中。
术前X片

临床口外检查

虎牙没有位置下降

把左上4向后推给左上3留位置

虎牙牵引过程
虎牙下降到正确位置

我们再看一下内侧的对比图



虎牙牵引归位
案例总结:未完待续,上颌牙齿各归各位,相安无事。
05
虎牙拥挤拔牙与非拔牙
虎牙拥挤拔牙
年龄:13岁
主诉:牙齿不齐求矫正。
检查:上下牙列拥挤不齐。
治疗计划:曾因父亲强烈拒绝拔牙,尝试牙齿排齐先看,几个月后孩子强烈要求拔牙自己说服父亲后拔牙排齐矫正。
拔牙前后对比图

面部对比


侧貌对比图
这里我们可以看出拔完牙后不管是面型还是咬合关系接近完美,所以不要吝啬拔牙。接下来看一下没拔牙时口内对比图:
口内牙齿对比图


面部对比图
术后X片对比


从X片可以看出我们的牙根状态没有因为拔牙而受到影响所以很多家长不要因为拔牙矫正而止步担心害怕孩子的牙齿健康受到影响!美是要付出代价的,由此可见拔牙是值得的。
牙齿拥挤非拔牙的
年龄:13岁
主诉:坚决拒绝拔牙,牙齿拥挤不齐。
检查:上下牙列严重拥挤。
治疗计划:扩弓后托槽矫正。
口内牙齿矫正前后对比图

面部对比图

x片的前后对比


通过x片我们可以发现,牙齿不会因为矫正而造成牙根吸收,牙齿松动。客人很满意,但医生觉得面形没有明显改变,但是牙齿的整齐和咬合关系还可以。
病例总结
一、牙齿阻生的原因?
遗传、发育异常、局部外伤和炎症,乳牙滞留,乳牙根尖病变,牙痛,多生牙等都有可能造成。
二、怎么评估阻生的牙齿能否保留?
结合阻生牙发育状况、阻生的位置与角度、与邻牙关系外科手术路径、牵引的时间和费用,患者的年龄、患者意愿综合考虑。
三、虎牙萌出异位怎么办?
可采取牵引移动归位,千万别冲动做美容冠来修复。
三、有什么办法可以预防和提前发现?
保护好每一个牙齿,7岁左右开始拍X片评估,每半年定期来口腔科复诊。
提示:由于个体差异,很多情况文章不能面面俱到,“理论”跟“实际”依然有较大差异,建议直接跟医生对话沟通。点击下面“在线咨询”,小编为你免费就近安排当地名医解答!
400-8299-365
24小时免费咨询电话