牙齿凸,闭嘴紧张,初中时就想戴牙套,但因为家人反对,迟到了5年才踏上牙套之旅

2021年01月29日

总有一些调皮的牙齿喜欢跳脱嘴唇的束缚暴露在外面,这就是我们经常说的嘴突。这种畸形是很常见的,想必大家上学时就见过很多同学有这种情况吧。带牙套是解决嘴突的有效方案,掌握了解决方法,我们就要带牙套来矫正了。牙齿矫正是宜早不宜晚,本文的案例主角据说初中就想带牙套了,但是由于父母的阻止,5年后才如愿。估计父母也是怕留下后遗症或者担心牙齿矫正很疼怕对孩子有损伤。闲话少说让我们进入今天的正题吧。

牙齿矫正会不会很痛?

牙齿矫正产生的疼痛因人而异,与每个人的耐受程度有关。根据临床统计的分布情况,约有70%的人感到一般疼痛,15%的人感到相当疼痛,15%的人感到不太疼痛。至于你属于哪一类?恐怕只有做牙齿矫正手术才能知道。一般来说,牙齿矫正治疗的疼痛大多在患者可以接受的范围内。一般人在第一次戴上牙套后,是一个磨合期,这种疼痛会持续3-5天。每月调整一次,疼痛也会有所好转,等人习惯后就不会再疼痛了。

牙齿矫正手术前需要拔牙吗?

牙齿矫正手术有时需要拔牙,但并不是所有的矫正患者都需要拔牙,根据求美者的个人情况,约有一半的患者需要拔牙。牙齿矫正医生会根据个人的情况来决定是否需要拔牙,需要拔几颗牙,所以即使在牙齿矫正手术中要拔牙也不要慌张。

接下来的这个案例中的小姑娘初中时就有戴牙套矫正的想法了,但是直到五年后才戴上了牙套,他认为自己错过了牙齿矫正的黄金时期。那么牙齿矫正的黄金时期这个说法正确吗?

牙齿矫正有黄金时间吗?

因为人的牙槽骨是一生都在变化的,牙齿矫正是没有年龄限制的,成年人也可以进行牙齿矫正。临床上有48岁做牙齿矫正的,也达到了预期的效果,所以没有晚期牙齿矫正的说法,但是在儿童的成长过程中,有一个  "黄金矫正年龄阶段"。

第一阶段:乳牙期(约3~6岁),这时我们的恒牙还没有萌出,可以通过在口腔内佩戴活动牙套进行矫正,疗程约6个月,早期治疗对孩子颌面部的正常发育非常有利。如果错过了这个时间,不要紧,赶快赶上第二个时期。

第二阶段:混合牙期(7~11岁),这时新恒牙开始萌出,牙齿生长迅速,咬合不稳定,是牙齿畸形比较多的时期。你可以带孩子去看牙医,正畸医生可以根据程度,采用活动或固定牙套,甚至口外矫治力来矫正牙齿。

第三阶段:成人恒牙期(12~18岁左右),这时牙齿畸形的诊断比较明确,孩子的恒牙已经形成,在这个生理发育期进行牙齿矫正,矫正效果快而稳定。

耽误五年才踏上牙套之旅的少女如今美丽归来

基本信息

- 地点:山东省青岛市黄岛区 山东省青岛市黄岛区

- 开始矫正的年龄:22岁。

- 牙齿矫正前:牙齿前突,闭唇张力,侧貌双颌前突。

- 对准器。戴蒙Q金属自锁托架。

- 拔牙。上面两颗4号牙,下面两颗5号牙。

- 牙齿矫正费用:22,000

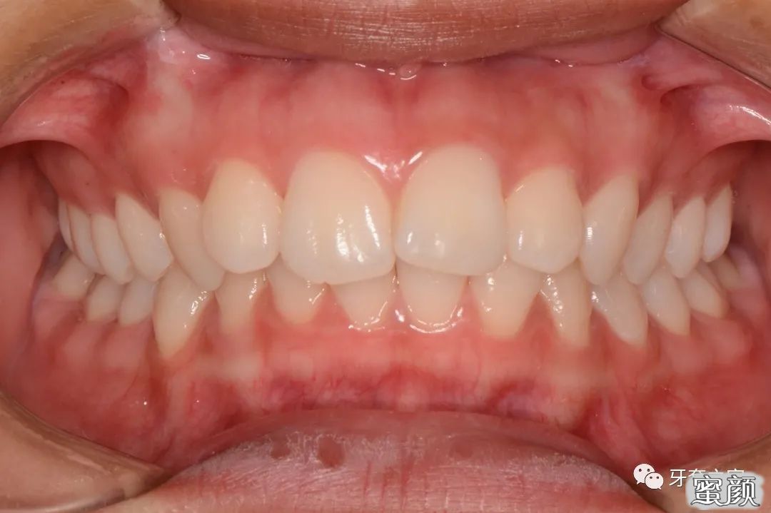
矫正前

初中时就想戴牙套,但上学期间家人一直反对,怕耽误学习。直到考上大学,牙齿矫正之路晚了5年,终于踏上了征程......。

牙齿矫正前

在带牙套之前,我在网上做了很多功课,也去公立医院面试过,但是因为一些原因,我不是很满意,所以一直没有决定下来,因为我觉得牙齿矫正太重要了,不想将就。

记得在微博上看到这个医生,于是我就去找她咨询了一下,然后我就跟她开始了牙齿矫正。

牙齿矫正过程中

刚戴上牙套的时候,只是感觉到异物感很重,但是并没有感觉到太疼,可能是我运气好,适应能力比较强吧。

还有一个额外的任务--刷牙,一天要刷几次,增加刷牙的频率,不过我已经做好了准备,为了口腔健康,还是很值得的。

我的牙齿本来就比较整齐,所以刚开始的时候看不出什么变化,没想到内缩牙一个月后,效果就出来了。

通过牙齿矫正,我还学到了很多口腔知识,养成了使用牙线和冲洗的习惯,也带动了家人定期洗牙和口腔检查,这也是牙齿矫正的额外收获。

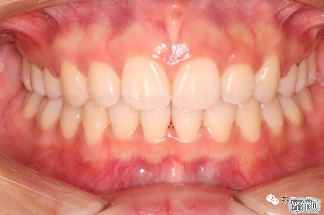
完成牙齿矫正治疗后

现在我更喜欢笑了,也更自信了,特别愿意给大家看我的前后照片,哈哈哈。

我觉得牙齿矫正的选择,医生的技术、审美真的很重要,一定要做好功课,不要因为一时的冲动就急着戴牙套。

最后,小编祝愿看到这篇文章的朋友都能拥有一口好牙!

对比照片

before

after

提示:由于个体差异,很多情况文章不能面面俱到,“理论”跟“实际”依然有较大差异,建议直接跟医生对话沟通。点击下面“在线咨询”,小编为你免费就近安排当地名医解答!

凸嘴矫正相关文章

400-8299-365

24小时免费咨询电话