我们的牙齿,天生就有两副,但是有的人在恒牙的时期,因为遗传,生长,以及种种原因牙齿歪歪斜斜,七扭八歪,正常的解决方式是正畸。
而有一些人当中,就是利用人们想快速达到牙齿整齐的目的,把所有的牙齿磨了,换成假牙。
就是现在大家所认识的美容冠,今天,就来说说它的危害。

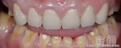
有些爱美的人士,遇见上图那样的牙齿,特别想把牙齿,排齐,变美。
正确的方式是做正畸,通过外力牵引,达到整齐的目的,时间因人而异,大概1-2年不等,费用因城市而异。

这是矫正牙齿的正常过程,而很多老百姓,在去诊所的时候,被个别黑心医生忽悠,把牙全磨了吧,都做成假的。老百姓还是很相信医生的,听之任之,于是磨了一嘴的好牙,全做成假牙。
美容冠,在正规的医学类教材、书籍、资料里,没有美容冠这个名词,只有固定修复里面有个烤瓷全冠,与其类似,但是有严格的适应症,只适合牙周炎等一小部分人,美容冠这个名词,是后期杜撰和改编出来的商业用词。
说白了,就是磨除一嘴好牙,全做成假的,美容冠是牙齿美容的一种新型技术,蕞早起源于欧美、日韩等国家,(扯)美容冠具有无需拔牙、快速矫正等特点。
缺点是强度和耐磨性方面不如金属材料, 故初戴时应注意吃软的食物(故意减少描述)

1.美容冠矫正时间短(其实是忽悠),美容冠的矫正的手术的一个比较大的优点就是,手术的时间相对来说要短得多(磨除好牙),整个手术只需要七天的时间就可以了!(???)
而牙套技术的时候相对来说就长很多了,一般需要现年左右的时间,而且还需要每个月进行一次复诊!(利用信息不对等,忽悠人。)
2.美容冠可同时改变牙齿的其他一些问题(扯淡)美容冠可以帮助你解决牙齿的不整齐的问题,而且还可以帮助你解决牙齿颜色(假牙)
3.美容冠可以改变牙齿形态(不是永玖的)美容冠不但可以让你的牙齿的排列变得美丽起来,让你的牙齿形态很得到相应的改变!
(牙齿矫正,是真正意义上的牙齿排列,)
5.高效快速。蕞新科技成果的应用,只需5天时间就可轻松拥有一口靓牙;(煽动性)
6.不伤原牙。 美容冠在不损伤牙齿、牙龈的前提下根据牙槽骨的形态对牙齿做修整,仅对不整齐的凸出部位进行精细打磨,无需拨牙。(扯淡)

看到矫正只需7天,歪牙矫正,变白,无痛,快捷,是不是很吸引人?全是忽悠!
美容冠的危害:
危害一,对牙龈的危害。

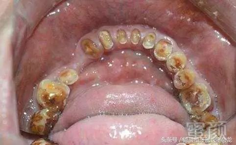
制作过程,是把好牙磨除,做成假的。

蕞后,就成这样了

冠,顾名思义就是帽子,正常的牙齿要做美容冠,就得把牙体磨除一圈。给全口的牙齿做冠。把全部牙齿都磨掉。如图:


正常的牙齿,是一个整体,把牙齿磨除,牙齿的整体形态就被破坏了。

肩台,这个地方,处理不好,牙龈红肿,易出血,封闭是一个问题。下图红色箭头。

下图是一个对比,红色箭头是美容做完戴上以后,显示牙龈微变色,呈现不正常的白色且发青。
而蓝色箭头,呈现正常牙冠牙龈,是淡粉色。仔细区分,即使你们不是医学类毕业,看色彩,也能有一个对比。

危害二,磨除大量牙体组织。
表面的釉质以后还要磨除牙本质,就是下图的珐琅质和象牙质都要磨除一
(即磨初到红色和蓝色线部分。)

然后做一个牙套套上去,牙套是假的,牙是真的,二者结合的地方结合没有想想中紧密。

下图,红色箭头为牙齿,深蓝为牙冠(美容冠,)浅青色连续线段部位为结合处(肩台),没有画的特别密,留下来给你们看看结合处(肩台)的缝隙。正常的牙齿没有这条缝隙,磨除后戴上假牙,是有缝隙(肩台)的,有的结合很不紧密。

时间 长了,牙齿,从里面烂掉....如下图。

以及

还有

危害三,磨牙体后牙齿酸痛。
牙齿的组成,是牙釉质、牙本质、牙神经等组成。美容冠磨牙,磨除到了牙本质层(下图三个箭头处),造成的伤害如下:牙釉质丧失,牙本质受损,小管间液不平衡。
(牙本质中间有小管间液。像一个个有水的瓶子,瓶盖被打开,水四处溢)受到外界轻微刺激,就开始酸痛,所以,活髓牙做美容冠,会酸,会疼。根儿,在这儿。

这一个个的小窟窿就是牙本质小管,内涵牙本质小管液,受损后,外界稍微刺激就开始疼痛,这就是做完美容冠的人,为什么牙齿会酸痛。
危害五,影响颌面部,形态改变后易折断。
咬合重建:是一种特别的修复方式。病人嘴里有牙,可以镶牙。如果,病人嘴里的牙,都掉光了,咬合不上,面容塌陷、苍老。这时候怎么办?如下图,没牙了,咬不上。


这时需要颌位的改正、适当地恢复垂直距离,重建正常的咬合关系。这时,就不单单是 牙齿的问题了,还会影响到颞下颌关节。


所以,千万切记不要因为戴牙套时间长就找捷径,7天快速矫正各种难看牙,不符合医疗原则,是虚假宣传。做牙冠的医疗原则是,能不做则不作,能少做则少做。
提示:由于个体差异,很多情况文章不能面面俱到,“理论”跟“实际”依然有较大差异,建议直接跟医生对话沟通。点击下面“在线咨询”,小编为你免费就近安排当地名医解答!
400-8299-365
24小时免费咨询电话