肤白胜雪是小仙女们孜孜不倦的追求
但唇红齿白确是所有人共同的祈愿
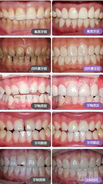
很多人因为牙黄而常常笑不露齿,
用羞涩掩饰尴尬,用微笑代替喜悦
没有一口可爱洁白的小牙齿
又怎么会撑起你的肤白貌美气质佳?
牙贴面,美容冠快来了解一下!

据娜娜所知,明星们平日档期紧张且机动性较强,他们为了能让自己更上镜,要随时随时做好颜值上的武装。紧张的生活节奏让他们没有时间周期来美白牙齿,因此他们就需要借助贴面或者美容冠。
安娜•宝士丽超薄全瓷牙贴面
“轻量级”的牙齿美容高手——超薄全瓷牙贴面,不仅能让人短时间内拥有美丽自信的笑容,还能使牙齿旧貌换新颜,变得洁白整齐,很多好莱坞的大明星就借此有了迷人的微笑。


其实人牙齿就像指纹一样,每个人的牙齿与排列皆是独一无二的,安娜•宝士丽采用高精度真彩取像术,真实克隆求美者牙齿的每个细节,为求美者量身定制专属瓷贴面,超薄耐用,避免人为误差。

作为贴面材料的牙体不易变色,色泽接近天然牙齿,强度韧性较高,不易折裂。且相对来说价格较低,是一款超高性价比的贴面材料,受到众多美容人士的喜爱。

色彩自然,持久美白
洁白通透,色泽自然媲美真牙,无绷瓷黑线等现象,持久美白。
安娜•宝士丽超薄全瓷牙贴面,采用全瓷高新生物材料,微创美牙,应用计算机辅助技术以及不磨牙瓷贴面技术,超薄至0.2mm,强度高达400Mpa。修复后的牙齿色泽自然通透,美白持久。

零伤牙,精准设计:
为牙齿量齿设计,不伤害牙组织,根据求美者脸型打造最适合的U型微笑线。
超值耐用,舒适安全:
硬度、韧度接近真牙,耐用不易折裂价格超值。无异物感,对牙龈组织无刺激,不磨牙,微创修复。
耐用,不易脱落变色:
安娜•宝士丽超薄全瓷牙贴面,含瓷成分抗染色性好,抗着色,脱落率低。随治随来,方便快捷:
只需两次就诊,一周制作并可以佩戴,修复效果显著完美。
根据自身形象,定制最合适的牙齿形状:
安娜•宝士丽的专业医师会根据求美者的年龄,牙齿形态及微笑线等所有因素。1:1定制个性化专属的方案,为求美者打造最适合的精美牙齿。



安娜•宝士丽美学全瓷美牙冠
色素牙、牙齿残缺不仅会有损我们的外在形象,严重的还会引起不冷热刺激痛,甚至恶化成牙周病、急性牙根尖问题。所以一定要提早治疗才能避免不必要的麻烦。
那么什么是牙冠修复呢?
牙冠修复简单来讲就是在牙齿表面套上一个与牙齿色泽完全相同的牙套,也就是给牙齿穿了一件华丽的“外套”,牙冠既可以起到保护作用,又能起到煤化作用。

全瓷美容是常见的一种修复牙齿的美容冠,一般由两层组成,内层为基层,外层覆盖和自然牙色相近的烤瓷,安娜•宝士丽美学全瓷美牙冠是利用仪器将牙齿均匀的抹去一圈,然后再套上同样厚度的美容冠达到牙齿美容的效果。

为什么选择安娜•宝士丽美学全瓷美牙冠?
1、坚固耐磨:抗压度强,完全不用担心瓷崩裂的现象。
2、相容性佳:边缘精确密合如真牙,口腔清洁护理方便。
3、自然美观:全瓷的硬度和牙釉质相似,不对颌牙造成磨损。
4、护理便捷:良好的透明性与折光性,不再有在灯光下“青牙闪闪”的尴尬。
安娜•宝士丽牙缝美学功能双重修复:

牙龈健康,无出血

不疼不酸,不敏感
光亮洁白,不泛黄

排列整齐,无缝隙
安娜•宝士丽美学全瓷美牙冠适应人群:


安娜•宝士丽美学全瓷美牙冠四大优势:
1、3D造型修复:3D健康系统根据求美者牙体厚度、宽度以及牙根比例调整,达到黄金要求。
2、功能自然:严选标准材料,坚固耐磨,美容冠与牙齿深度吻合,有效的保证牙齿强韧性。

3、自然美观:引用国外比色技术,并应用独到的美学设计,使成型后的牙齿达到与整体的色调统一。
4、操作卫生:安娜•宝士丽医疗美容医院郑重承诺,做到一次性器具,使用后立刻废弃;非一次性器具全面灭菌,避免感染发生。

提示:由于个体差异,很多情况文章不能面面俱到,“理论”跟“实际”依然有较大差异,建议直接跟医生对话沟通。点击下面“在线咨询”,小编为你免费就近安排当地名医解答!
400-8299-365
24小时免费咨询电话