案例丨原先要排队 1 年的我,没想到 13 个月后就摘下了牙套
2019年09月05日
你还在拖延牙齿矫正?
-
GO -拥有一口好牙齿到底又有什么好处?可以肆无忌惮地大笑无需遮遮掩掩?拥有超完美侧颜?随心所欲地驾驭所有网红唇膏色号?有一点,我非常肯定的是——一口好牙的出现概率甚至比A4
腰、人鱼线、马甲线的出现概率低得多~

越来越多的人会做牙齿正畸,平均费用在 2w~8w,真是随时随地比你的 CHANEL
包包贵。但相信很多人已经慢慢领会到,再贵的包包也只是包包本身的价值,并不能提高你的颜值。
这里所谓的“越来越多的人”当中包括了无数明星,比如你们的男神女神们,都已经早早意识到牙齿矫正的重要性。到底有多早?这些牙齿矫正前的照片早到你可能都没看见过~

通过这些 B&A
看到正畸的强大了么?比起割双眼皮开眼角鼻综合这种整形手术,正畸是自然地无迹可寻、改善脸部线条更明显的存在。
正畸会极大限度地提高面部轮廓,调整出更完美的微笑线,从而达到提升颜值的效果。简单地说就是:牙齿和脸型有着不可分割的奥妙联系!这种好事,我怎么能不迎头赶上?本人虽然牙口整齐,但不知道是因为职业关系还是因为审美关系,对自己的脸型可以说是很喜欢又从未完全满意过,所以尝试正畸这事儿也特别在情理之中。
今天就来看 2 个通过矫正收获完美笑容的小姐姐吧!
@凯瑟琳 27岁 
矫正完成 陶瓷自锁 13个月
26 岁的时候才开始矫正牙齿,成为了大龄矫正队伍的一员。
有这个念头,大概是源于韩国同事的一句话,
“我觉得你可以去整牙,应该会变好看的。”
矫正前
一直以来,我都知道自己有一
颗门牙外凸,但没有意识到我的牙齿还存在
深覆合和深覆盖的症状。

矫正前
直到关注【牙齿矫正】公众号后才了解到,这
不仅仅关系到美观,还十分影响牙周健康。在韩国工作的一年间,也陆续去了几家诊所问诊,但方案都不甚满意,自己当时也对矫正牙齿有所犹豫。

矫正前


矫正前
最终真正下定决心要矫正,还是因为遇到了一个值得信任的好医生,医生非常耐心地向我
解释我的牙齿情况、方案的优劣势、拔牙的必要性、期望达成的效果等等,【牙齿矫正】公众号也非常专业地给我科普了许多牙齿健康的知识,让我不再害怕和犹豫。
和我一样拥有牙套的同事

刚开始戴上牙套,我是非常不适应的。
偶尔会怀疑自己当初矫正牙齿的决定、时常想要半途而废撤走牙套,但看到自己牙齿左右两侧的窟窿眼(上牙左右分别拔了 2 颗 4
号牙),便也就不再胡思乱想,一心等待时间给到满意的答复。

矫正中
1、2 个月左右,我已然渐渐适应了牙套作为我身体的一部分,能与之和谐相处并给它也带来一些小乐趣了。
大概是做到了古人常说的天(ya)人(tao)合一的境界,我的窟窿填补得比想象中快很多,牙齿每个月都有肉眼可见的位移。
比起预期的
2 年矫正期,我用了仅仅 1 年 1 个月就顺利摘下牙套!幸福来得太突然~
摘掉牙套的那天,真的有焕然重生的感觉,有点像给新生儿剪断脐带,是一项施术过程,也是一种仪式,你知道你将摆脱束缚,去拥抱一个更加独立自信的、不断成长的自己。 

矫正后
虽然比起矫正前,戴着牙套吃东西略感不适,但一旦过了适应期,丝毫不妨碍我们牙套一族尽情满足味蕾的需求。
戴牙套期间形成的略显干瘪“牙套脸”也渐渐地开始恢复圆润。

矫正后
后来再见到以前认识的朋友,大家都惊叹我比从前瘦了很多。大概也只有我自己知道,我的体重没有很大变化(甚至还胖了一些),本来肉嘟嘟的脸(尤其是咬肌部分)让五官和线条都不那么清晰,矫正牙齿让脸蛋瘦了下来,显得整个人都精神了不少。

矫正前 vs 矫正后
是啊,真好。脱掉了牙套的我,比从前更加自信乐观,珍惜每一个言笑自若的今天,也期待每一个展颜露齿的明天。
点我做 凯瑟琳 同款牙齿矫正
@刘姑娘 35岁

矫正完成 隐适美 24个月
如果要用一句话来概括我的牙齿矫正历程应该就是 4
个字——
先苦后甜。 我是 35
岁高龄才开始矫正之路的,从小就对自己不整齐的牙不自信。但是人,尤其是女人都是特别会自欺欺人的,老是自我催眠这是小事,不影响!
但即便是再会自我催眠,在大笑和拍照时依然会显得不自然。所以我不喜欢拍照,也不喜欢自拍。
从少有的照片可以看出来,当时的表情很不自然,嘴巴都是抿着的~


看看这不爱笑的自己
14
年偶然洗牙,那个时候才知道原来牙齿拥挤还会造成牙龈萎缩,进而导致牙齿掉光!我真是怕老了以后牙会“走”我前边,到时候什么美味都只能望而兴叹了......
当天洗完牙和医生聊天,我才知道原来还有一种牙套是隐形的!可以既矫正牙齿又不影响美观,这个草就算种在心里了。
我以前的牙:上门牙突出,蝴蝶牙明显

下牙拥挤

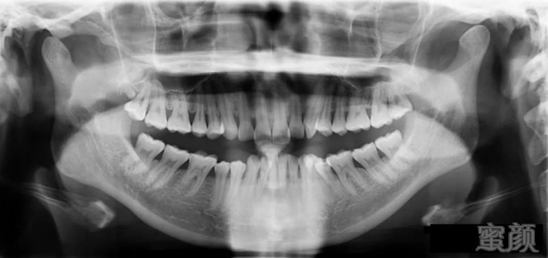
牙齿的 CT
商量方案时已经确定了至少要拔掉 1、2
颗牙,最终方案是选择了拔一颗,尽量把恢复期缩短。这里要表扬医生的医德和仁心,总是从病人的角度尽量多的考虑周全,体贴暖男!

矫正前
对了,牙套一般要求一天戴满 22
小时,而且是可以正常吃饭的,但是我不喜欢戴着牙套吃饭,因为总感觉像带着没刷干净的饭盒,而且戴习惯了真的做到秒戴秒摘。
牙套戴了 3、4
个月以后,明显开始看到了自己牙齿的改变,刘猛医生也会根据我的牙齿状况对矫正方案进行更
细微的调整。真是精确到了每一毫米!我庆幸挑了这么一位处女座的医生,下图可以明显看出我的大门牙已经往内收了不少,看起来
没那么突兀了。

矫正中
现在,我的笑容随时挂脸上,并且还有了个意外收获!我的
脸型变得更好看了,下巴也变得更尖了,好多人还以为我去整容了!

很多朋友说,整牙是我这辈子最正确的决定了,这句话简直就是我的心声。

矫正后
另外,戴上牙套以后,我也
更注重牙齿的健康了,除了自己每天刷牙、用牙线、齿缝刷认真清洁之外,孩子的牙齿日常护理也会更认真对待,因为太懂得拥有一口健康的牙齿是多么幸福的事情了呀!经历了
2
年的矫正,我的生活在不知不觉中发生着变化,我
变得更自信也更坚毅。我想对即将戴上牙套的朋友说:
“容貌也好、生活也好、心态也好,只需知道自己正在向理想的生活靠近就是最好的状态!我们都要活在当下、喜欢自己、享受工作、热爱生活!”

矫正前 vs 矫正后
点我做 刘姑娘 同款牙齿矫正
提示:由于个体差异,很多情况文章不能面面俱到,“理论”跟“实际”依然有较大差异,建议直接跟医生对话沟通。点击下面“在线咨询”,小编为你免费就近安排当地名医解答!