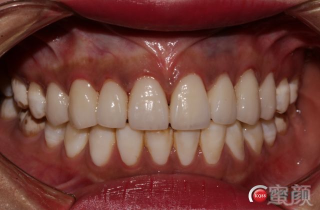
很久没有做美学修复案例了;因为还是病例适应症选择比较纠结;该患者也是前期多方会诊排除智齿;正畸老师会诊后和患者沟通对于中线不要求对称才去做;包括牙周;牙龈炎的前期治疗;原树脂修复的导致牙龈红肿退缩;都经过了2个月的治疗后观察期才取模制作蜡型;沟通无误后才进行牙体预备;但凡患者有不明白;有疑问;都在备牙之前交流解释清楚。







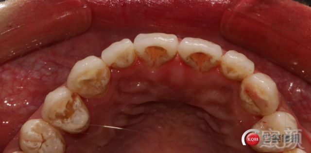
诊断牙模要自己去备牙,千万不能取个模型甩给技师让他凭感觉磨了做;要告知技师你的要求;牙面形态。切端通透性;交流知道技师需要多少空间;在风险可控范围相互平衡。但都要提前做好准备。



戴临时牙的情况;颜色选择略黄;和最终修复体对比后患者更容易接受。





唯一的调整是因为去除树脂后切端的牙体发黑所以从开窗式的修复方案改为对接式。包绕式。
粘接式非常痛苦的过程~~~省略一万个字,上橡皮章排龈,非常费时。








下颌我要等技工室的全合架到位了再做;因为涉及到几个合位关系的确定问题;下颌要采用对接式所以侧方合关系要特别注意,不然会出问题。患者很满意;中缝黑三角2周后应该可以恢复;排龈时间压得有点长;两单位对称粘接;邻间隙一定要能过牙线,再往下做;手术刀慢慢刮还是有点费力。效果不错患者满意。


两周后再拍一下效果和大家一起讨论。多多指教;没有对比就没有伤害;切端通透生长叶形态能表达出来;牙面纹路生动符合患者年龄的纵横纹的表达。面型笑线和牙体的协调。


提示:由于个体差异,很多情况文章不能面面俱到,“理论”跟“实际”依然有较大差异,建议直接跟医生对话沟通。点击下面“在线咨询”,小编为你免费就近安排当地名医解答!
400-8299-365
24小时免费咨询电话